3 skyrius. Kaip padidinti savo išgyvenimo galimybes
4 iš 16 · ~20 min. skaitymo
Kaip pagerinti savo išgyvenimo galimybes
PER PIRMĄJĮ MŪSŲ susitikimą dr. Marc Chamberlain rekomendavo chemoterapiją, neaptardamas su tuo susijusių klausimų. Tik pradėjęs pats tyrinėti, pradėjau suvokti prieštaringus požiūrius į chemoterapiją neuroonkologijos bendruomenėje. Trumpai tariant, nėra aišku, ar chemoterapijos pridėjimas prie standartinės spindulinės terapijos teikia kokią nors naudą glioblastoma sergantiems pacientams. Labiausiai paplitusi nuomonė yra ta, kad ji prailgina vidutinį išgyvenamumą dviem–trimis mėnesiais, tačiau nemažai klinikinių tyrimų nepatvirtino net šios nedidelės naudos. Dėl to vis daugiau neuroonkologų nerekomenduoja chemoterapijos, nes mano, kad jos menka nauda nepateisina sukeliamos kančios ir nusilpimo. Vis dėlto svarbu pripažinti, kad ši diskusija apima tik glioblastomų gydymą. Žemesnio piktybingumo laipsnio gliomoms, tokioms kaip anaplastinės astrocytomos (III laipsnio gliomos), yra nemažai įrodymų, kad chemoterapija reikšmingai prailgina išgyvenamumą.1
Kadangi mano likutinis navikas nesumažėjo po spindulinės terapijos, o papildoma operacija atrodė pernelyg rizikinga, chemoterapija buvo geriausia mano išgyvenimo galimybė. Nors tiesa, kad vidutinis išgyvenamumas chemoterapijos dėka pailgėja tik nedaug, mažuma glioblastoma sergančių pacientų (nuo 15 iki 30 procentų) gauna reikšmingą naudą. Tai matyti, kai pažvelgiame į dvejų metų išgyvenimo rodiklius po diagnozės. Glioblastoma sergantys pacientai, gaunantys tik standartinę spindulinę terapiją, turi dvejų metų išgyvenimo rodiklį nuo 2 iki 10 procentų. Tie, kurie gauna spindulinę terapiją kartu su chemoterapija, turi dvejų metų išgyvenimo rodiklį nuo 15 iki 30 procentų. Klausimas buvo, ar galėčiau patekti į tą laimingą mažumą.
Mano tyrimai parodė, kad tam tikri agentai gali padidinti chemoterapijos veiksmingumą. Naviko ląstelės ginasi nuo chemoterapijos naudodamos siurblio tipo mechanizmą, kuris aktyviai išstumia chemoterapijos agentą iš ląstelės. Kadangi chemoterapija naikina tik besidalijančias ląsteles, šis greitas išstūmimas sumažina tikimybę, kad agentas bus ląstelėje dalijimosi metu. Jei išstūmimo mechanizmą būtų galima užblokuoti, tai turėtų padidinti naikinimo efektyvumą. Laboratoriniai tyrimai su graužikais patvirtino šią idėją, todėl keletą dienų praleidau tyrinėdamas agentus, kurie, kaip buvo įrodyta, blokuoja išstūmimo mechanizmą.
Tamoksifenas buvo viena iš galimybių, ir mano įsitikinimas, kad jis galėtų padidinti chemoterapijos veiksmingumą, buvo viena priežasčių, kodėl taip atkakliai jo siekiau.2 Kalcio kanalų blokatoriai, įprastai naudojami hipertenzijai gydyti,3 taip pat buvo galimybė; tačiau dozės, naudotos chemoterapijos poveikiui padidinti gyvūnų eksperimentuose, atrodė per didelės klinikiniams tikslams, nes kalcio kanalų blokatoriai labai sumažina kraujospūdį. Vis dėlto jaučiau, kad kuo didesnės toleruojamos dozės vartojimas – kartu su tamoksifenu – galėtų būti veiksminga strategija. Taip pat svarstiau, ar neturėčiau įtraukti dar vieną vaistų klasę, parodžiusią sinerginį poveikį: fenotiazinus, naudojamus šizofrenijai gydyti.4 Nusprendžiau to nesiekti, kai UCSD kolega pastebėjo, kad mano svarstoma dozė turėtų stiprų raminamąjį poveikį.
Pirmąjį chemoterapijos seansą buvau suplanavęs liepos 5, 6 ir 7 dienomis. Tai suteikė pakankamai laiko tamoksifen kauptis kraujyje. Tuo tarpu kreipiausi į savo vidaus ligų gydytoją dėl verapamilio recepto – tai kalcio kanalų blokatorius, labiausiai ištirtas kaip priemonė chemoterapijos veiksmingumui didinti. Buvau paminėjęs savo susidomėjimą šiuo vaistu dr. Chamberlain, tačiau jis atmetė tokią galimybę, nes nebuvo klinikinių įrodymų, kad tai teiktų naudos. Mano vidaus ligų gydytojas buvo nuolaidesnis ir išrašė receptą su sąlyga, kad atidžiai stebėsiu savo kraujospūdį.
Chemoterapija ir kraujo ir smegenų barjeras
Kaip chemoterapiją pasirinkau BCNU. BCNU, tapęs prieinamu šeštajame dešimtmetyje, buvo pirmasis chemoterapijos agentas, naudotas gliomų gydymui. BCNU naudojimo pagrindas yra jo gebėjimas prasiskverbti pro kraujo ir smegenų barjerą. Dauguma chemoterapijos agentų to negali.
Kraujo ir smegenų barjeras yra smegenų gynybinės sistemos dalis, sauganti nuo potencialiai toksiškų medžiagų, tačiau barjeras ne visada apsaugos naviko ląsteles. Didžioji naviko kraujo ir smegenų barjero dalis nebėra nepažeista, todėl kontrastinė medžiaga, naudojama MRT metu, teikia diagnostinę informaciją. Kadangi šios ląstelės absorbuoja kontrastinę medžiagą, o normalios smegenų ląstelės – ne, kontrastą kaupiančios sritys MRT vaizduose rodo naviko ląstelių buvimą; tačiau ankstyvoje vystymosi stadijoje esančių naviko ląstelių kraujo ir smegenų barjeras gali būti nepažeistas, todėl jos gali būti neaptinkamos MRT.
Tas pats absorbcijos kintamumas taikomas ir chemoterapijos agentams. Agentai, kurie yra didelės molekulės, pavyzdžiui, sunkiųjų metalų platinos vaistai, pasieks naviko ląsteles su pažeistu kraujo ir smegenų barjeru, bet ne tas, kurių barjeras yra nepažeistas. Dėl to chemoterapija gali sunaikinti didelę naviko dalį, tačiau kai kurios naviko ląstelės gali likti. Esant geometriniam naviko augimo tempui, nedidelis likutinio naviko kiekis netrukus išsiplės į didesnį naviką, sukeliantį rimtų klinikinių problemų.
Kraujo ir smegenų barjero vaidmuo turi svarbių implikacijų chemoterapijos diskusijoje. Gliomų gydymui buvo naudota daug skirtingų vaistų, įskaitant cis-platiną, karboplatina, Taxol ir kitus. Keletas jų parodė didesnį pradinį atsako rodiklį nei tradicinės nitrozourėjos (BCNU, CCNU, ACNU), tačiau nėra įrodymų, kad jie lemia geresnį išgyvenamumą. Todėl svarbu tiksliai žinoti, ką reiškia klinikiniame pranešime nurodoma, kad tam tikras chemoterapijos agentas turi „reikšmingą klinikinį poveikį".
Šie svarstymai paskatino mane priimti dr. Chamberlain rekomendaciją naudoti BCNU. Iš pradžių jis rekomendavo kombinuotą gydymą, žinomą kaip PCV, kurį sudaro prokarbazinas, CCNU ir vinkristinas. Tačiau PCV režimui atlikti reikalingas laikas (maždaug vienas mėnuo) prieštaravo dr. Friedman nustatytam reikalavimui, kad tarp chemoterapijos ir jo monokloninių antikūnų gydymo būtų bent šešios savaitės. Sutikau su dr. Chamberlain, kad PCV tikriausiai buvo geresnis gydymas, nors tai patvirtinantys įrodymai nebuvo labai tvirti. Vis dėlto monokloninių antikūnų gydymo reikalavimų laikymasis atrodė svarbesnis aspektas, todėl tęsiau su BCNU.
Pasiruošimas chemoterapijai
Visi yra girdėję siaubo istorijų apie chemoterapiją. Prieš dešimt metų šios istorijos gana tiksliai atspindėjo tai, ko pacientai galėjo tikėtis. Dauguma pacientų patirdavo stiprų pykinimą ir vėmimą, po kurių sekdavo didelis nuovargis ir padidėjęs jautrumas ligoms (dėl sumažėjusio kraujo ląstelių skaičiaus). Mano neurochirurgas dr. Marshall paminėjo, kad kai kuriems jo pacientams marihuana padėjo nuo pykinimo ir vėmimo, nors jis negalėjo aiškiai rekomenduoti man ją vartoti.5
Ginčai dėl medicininės marihuanos vartojimo buvo esminis klausimas vėžiu sergantiems pacientams iki dešimtojo dešimtmečio pradžios, kai rinkoje pasirodė antiemetiniai vaistai, tokie kaip Zofran ir Kytril. Jie yra nepaprastai veiksmingi slopinant pykinimą ir vėmimą, todėl nebėra jokio pateisinimo pacientams tapti nedelsiant blogai po chemoterapijos. Vis dėlto daugeliui taip nutinka. Kai kurie gydytojai neišrašo šių vaistų dėl kainos; kiti nežino apie jų prieinamumą. Mano laimei, dr. Chamberlain išrašė Zofran, tad didžiausios mano baimės dėl chemoterapijos neišsipildė. Per metus gavau šešis chemoterapijos kursus ir niekada nesusirgau kaip tiesioginis to rezultatas.
Ruošdamasis trijų dienų chemoterapijos seansui, atidžiai perskaičiau savo Physicians Desk Reference (PDR) – leidinį, kuriame aprašomas galimas visų rūšių receptinių vaistų šalutinis poveikis. Gydytojai dažnai naudojasi PDR farmakologijos klausimais, ir pacientams labai svarbu turėti šią informaciją. PDR nurodo, kad BCNU turi būti laikomas stikliniuose buteliuose, o ne plastikiniuose maišeliuose, būdinguose kitiems intraveniniai vaistams, ir turi būti apsaugotas nuo šviesos tamsiu dangteliu. Priešingu atveju jis greitai praranda citotoksiškumą. Kai atvykau gauti gydymo, BCNU buvo plastikiniame maišelyje ir visiškai neapsaugotas nuo šviesos. Kai atkreipiau dėmesį į šį neatitikimą chemoterapijos klinikos slaugytojoms, jos pasikonsultavo su savo PDR ir grąžino BCNU gretimam vaistininkui tinkamai paruošti. Nelaikiau, kad tai slaugytojų kaltė – kaip grupė jos buvo nepaprastai kompetentingos ir sąžiningos. Tačiau supratau, kad pacientai turi būti kuo labiau išsilavinę ir atidžiai stebėti gaunamus gydymus.
Mūsų medicinos sistema yra persmelkta klaidų, kurios atrodo nekenksmingos, tačiau iš tikrųjų gali pakenkti gydymui. Tokios klaidos taip pat gali būti mirtinos. Neseniai paskelbta vyriausybės ataskaita atskleidė, kad ligoninėse kasmet dėl vaistų vartojimo klaidų įvyksta beveik 100 000 mirčių.6 Pacientai privalo išmanyti gaunamo gydymo dozes ir šalutinį poveikį ir turi nuolat būti budrūs, kad vaistai būtų skiriami numatytu būdu.
Mano BCNU gydymas buvo palyginti nekenksmingas procesas – kiekvienas seansas truko nuo trijų iki keturių valandų. Kartais man reikėdavo eiti į tualetą, o tai reikalavo sudėtingo proceso – perkelti visą metalinį stovą, prie kurio buvo pritvirtintas mano lašelinės maišelis. Likusį laiką praleidau skaitydamas. Procedūros viduryje ėmė skaudėti ranką – matyt, dėl alkoholinio tirpalo, kuriame buvo ištirpintas BCNU. Slaugytojos virš mano rankos įjungė šildymo lempą, ir tai iš tiesų padėjo. Vėliau sužinojau, kad skausmas atspindėjo venos, į kurią buvo įkištas lašelinės kaniulė, dirginimą. Dėl to susidarė kraujo krešuliai, užkimšę veną ir padarę ją netinkamą tolesniam naudojimui – liko kietas, storas sruogas, kurį buvo skausminga liesti.
Dalykiškas būdas, kuriuo iškentėjau trijų dienų chemoterapijos maratoną, slėpė mano emocinę būseną tuo laikotarpiu. Nuotaika svyravo tarp depresijos ir pykčio. Norėdami sumažinti nenutrūkstamą nerimo ir neapibrėžtumo spaudimą, su Diane sutarėme, kad mums reikia atitraukti dėmesį. Per laikraščio skelbimą radome du gyvus kačiukus – neplanuoto Menkso tėvo ir Siamo motinos sąjungos palikuonis. Nemažai laiko praleidau žaisdamas su kačiukais, tačiau net tai visiškai nepalengvino mano nerimo per mėnesį tarp chemoterapijos ir kito MRT, kuris parodytų, ar chemoterapija buvo veiksminga. Tai buvo mūsų nerimastagiausias laikotarpis.
Norėdamas susidoroti su neapibrėžtumu, dar daugiau laiko skyriau smegenų navikų gydymo tyrinėjimui. Net kai tyrimai buvo nevaisingi, toliau tikėjau – galbūt prietaringai, – kad priimu viršų prieš savo ligą. Žinios yra galia, o aš buvau labai geras žinių kaupėjas. Laimei, atsirado keletas naujų vilčių. Svarbiausia iškilo beveik atsitiktinai.
Mažo toksiškumo terapijų derinimas
Vienas mano BrainTmr grupės internete narys kreipėsi į M.D. Anderson Cancer Center neuroonkologus Houston mieste, klausdamas jų nuomonės apie tamoksifenu, Poly-ICLC ir kitus naujus gydymo būdus, kurie atrodė mažiau toksiški nei tradicinė chemoterapija. Dr. Victor Levin, smegenų navikų centro M.D. Anderson vadovas ir bene pirmaujantis šalies neuroonkologas, atsakė, kad apskritai skeptiškai vertina tokių agentų veiksmingumą patvirtinančius įrodymus. Tuomet jis paminėjo, kad jo grupė naudojo kitą palyginti netoksiškąagentą – Accutane, paprastai skiriamą sunkiam aknei gydyti. Techninis Accutane pavadinimas yra 13-cis-retinoino rūgštis (dar žinoma kaip izotretinoinas), kuri yra vitamino A rūgštinė forma. Skirtingai nuo daugumos vitamino A formų, rūgštinė forma nekaupiama kepenyse, todėl mažiau tikėtina, kad sukels kepenų toksiškumą, susijusį su pernelyg dideliu vitamino A vartojimu. M.D. Anderson klinikinis tyrimas parodė, kad Accutane, nors ir nepakankamai veiksmingas kaip pirmos eilės gydymas, buvo aktyvus prieš glioblastomas ir galėjo būti naudojamas kaip papildoma priemonė prie kitų gydymų. Kadangi Accutane jau buvo patvirtintas FDA ir todėl lengvai prieinamas, nusprendžiau jį įtraukti į savo gydymo paketą.
Abejojau, ar galėčiau gauti Accutane receptą iš dr. Chamberlain, ir buvo aišku, kad mano draudimas už jį nemokės, ypač atsižvelgiant į didelę kainą. Tijuanoje jis kainavo perpus pigiau, o tai reiškė dar vieną kelionę per sieną. Prieš įtraukdamas vaistą į savo gydymo režimą, susisiekiau su dr. William Yung, Levin bendradarbiu M.D. Anderson, kad sužinočiau, kaip buvo vartojamas Accutane. Man pasakė, kad vaisto negalima vartoti nuolat, nes organizmas greitai išmoksta jį pašalinti. Jų protokolas buvo vartoti vaistą tris savaites iš eilės, tarpuose darant vienos savaitės pertraukas. Tai buvo svarbi informacija, nes nenorėjau vartoti vaisto aktyvios chemoterapijos metu. Kaip ir dauguma vitamino A formų, jis tikriausiai turėjo antioksidantinių savybių, o daugelis onkologų manė, kad tai sumažintų chemoterapijos veiksmingumą. Galėjau vartoti BCNU pertraukų savaitėmis ir taip išvengti galimos problemos. (13 skyriuje aptariu prieštaringus ir sudėtingus antioksidantų vartojimo chemoterapijos metu klausimus.)
Mano gydymo režimą dabar sudarė nuolatinis tamoksifenas, verapamilis savaitiniais laikotarpiais aplink BCNU ir Accutane tarpais tarp chemoterapijos kursų. Tik tamoksifenas sukėlė reikšmingą šalutinį poveikį: man pradėjo formuotis kraujo krešuliai kojose, kuriuos reikėjo tikrinti ultragarsu, kad būtų nustatytas jų rimtumas. Laimei, visi krešuliai buvo periferinėse kraujagyslėse ir nekėlė didelės grėsmės, kad dideli krešuliai galėtų atsiskirti ir įstrigti plaučiuose. Eksperimentuodamas nustatiau, kad krešulius galima kontroliuoti vartojant po du aspirinus per dieną ir ilgai vaikštant paplūdimiu. Verapamilis kartais per daug sumažindavo kraujospūdį – tokiu atveju sumažindavau dozę, tačiau apskritai jį toleravau gana gerai. Accutane neturėjo jokio šalutinio poveikio, išskyrus lūpų skilinėjimą ir sausą odą. Apskritai galima potenciali šių vaistų nauda – ypač atsižvelgiant į realią galimybę, kad jų poveikis bus kumuliacinis – atrodė kur kas didesnė nei jų pavojai.
Tikėjomės, kad agentų derinys pagerins mano galimybes; nepaisant to, su Diane buvome labai nervingi, kai atėjo kito MRT laikas. Rezultatų nepamatysime tol, kol neturėsime vizito pas dr. Chamberlain, kurio metu juos kartu peržiūrėsime.
Šiam konkrečiam vizitui dr. Chamberlain nuolatinė slaugytojos padėjėja Patricia Kormanik buvo išvykusi atostogų, o pats dr. Chamberlain vėlavo. Patricia pavaduojanti slaugytoja perskaitė mums radiologo ataskaitą. Tuo metu buvau toks nervingas, kad praleidau dalį apie likutinio naviko dalies susitraukimą; vietoj to išgirdau tik tai, kad naviko ertmėje susidarė didelė cista. Neturėjau supratimo, ką tai reiškia, ir tai padidino mano nerimo lygį.
Kai atvyko dr. Chamberlain, jis buvo akivaizdžiai susierzinęs, kad slaugytoja mums perskaitė ataskaitą. Jis peržiūrėjo MRT, tada paskelbė, kad likutinis navikas reikšmingai sumažėjo. Taip stipriai stengiausi suvaldyti savo emocijas, kad beveik nereagavau, kol jis kone nesušuko man: „Tai geros naujienos." Akyse pasirodė ašaros, o milžiniška įtampa pamažu virto palengvėjimu.
Nuo to momento mano santykiai su Marc Chamberlain neteko priešiško pobūdžio, o mūsų bendravimas tapo draugiškas ir pozityvus. Tai, kad mano navikas traukėsi, o ne augo, reiškė, kad jis nebespaudė dėl brachiterapijos; ji vėl taptų klausimu tik tuo atveju, jei chemoterapija nustotų veikusi. O kol chemoterapija veikė, nenorėjau monokloninių antikūnų gydymo, nors neatmečiau jo vėliau, jei prireiktų. Taigi sutarėme tęsti su kitu chemoterapijos kursu. Dr. Chamberlain ragino mane pradėti nedelsiant, nors įprastai būdavo laukiama šešias savaites. Nuo BCNU užbaigimo praėjo tik keturios savaitės, bet mano kraujo rodikliai buvo geri, o, kaip sakė dr. Chamberlain, navikas nelauks. Šį kartą sutikau pereiti prie PCV režimo, kurį jis iš pradžių rekomendavo, nes nebeturėjau monokloninių antikūnų gydymo nustatytų laiko apribojimų.
Grįžtant namo po vizito, Diane buvo beveik apsvaigusi iš džiaugsmo, bet aš buvau toli gražu ne toks optimistiškas. Paprastai, jei chemoterapija iš viso veikia, ji sumažina naviką tik per pirmuosius kelis kursus. Tada navikas dažniausiai stabilizuojasi. Mano tyrimai aiškiai parodė, kad vienintelė vilties išgyventi yra panaikinti visus naviko požymius MRT vaizduose. Nedideli naviko kiekiai, kurie atrodė stabilūs ilgą laiką, galiausiai vėl pradėdavo augti ir greitai tapdavo mirtini. Tai sužinojau iš aštuntojo dešimtmečio viduryje paskelbto straipsnio, kuriame buvo pateiktas University of California, San Francisco atvejų suvestinis,7 tuo metu pirmaujančio šalies smegenų navikų centro. Analizė apėmė tik tuos pacientus, kurių navikas iš pradžių sumažėjo, ir jie buvo suskirstyti į tuos, kurie pasiekė „visišką atsaką", ir tuos, kurie pasiekė tik „dalinį atsaką". Dalinio atsako pacientų vidutinis išgyvenamumas buvo septyniasdešimt dvi savaitės, kas neabejotinai buvo pagerėjimas, palyginti su tipiniu maždaug penkiasdešimties savaičių vidutiniu išgyvenamumu. Tačiau pacientų, kurie pasiekė visišką atsaką į gydymą, vidutinis išgyvenamumas buvo beveik ketveri metai. Pusė pacientų mirė per metus po pirmojo švaraus MRT, bet likę buvo gyvi dar po kelerių metų, matyt, turėdami gerą galimybę išgyventi neribotą laiką. Todėl buvo itin svarbu tęsti gydymą, kol mano paties MRT nerodys jokių naviko požymių. Man dar buvo ilgas kelias, bet dabar turėjau aiškų tikslą, kurio siekti.
Teigiami MRT rezultatai sustiprino mano strategiją derinti kiekvieną agentą, kuris parodė reikšmingų gydymo veiksmingumo įrodymų. Per kitas dvi savaites į savo „gydymo mišinį" įtraukiau dar du agentus. Pirmasis buvo melatoninas – hormonas, natūraliai sekruojamas kankorėžinės liaukos, reguliuojantis paros ciklą. Plačiai žinomas dėl sėkmingo laiko juostų sutrikimo gydymo, jis taip pat buvo garsiai išreklamuotas sveikos mitybos pramonės kaip jaunystės šaltinio raktas. Jo vaidmenį vėžio gydyme pirmoji tyrinėjo Italijos grupė, kur jis beveik padvigubino išgyvenamumą pacientams, sergantiems įvairiais vėžio tipais, įskaitant glioblastomą. 1995 metais gerai kontroliuojamo klinikinio tyrimo rezultatai8 buvo paskelbti žurnale Oncology – viename pagrindinių onkologijos leidinių. Buvau patenkintas aptikęs šį straipsnį, ypač atsižvelgiant į tai, kad melatoninas yra pigus, lengvai prieinamas ir neturi žinomų šalutinių poveikių. Stebėtina, kad nedaug amerikiečių neuroonkologų įtraukė melatoniną į savo gydymo režimus. Tai ypač keista, turint omenyje, kad numanomas melatonino veikimo mechanizmas yra plačiaspektris imuninės sistemos stiprinimas, kurio labai reikia chemoterapiją gaunantiems pacientams.
Kitas naujas mano gydymo paketo papildymas buvo polisacharidas krestinas (PSK) – grybų ekstraktas, kurį Japonijos gydytojai dešimt–penkiolika metų naudojo vėžio gydymui. Manoma, kad PSK suteikia bendrą imuninės sistemos stiprinimą. Jis taip pat beveik padvigubino išgyvenimo rodiklius gerai kontroliuojamuose klinikiniuose tyrimuose su keliais skirtingais vėžio tipais. Tačiau amerikiečių gydytojai jį beveik visiškai ignoravo. Skirtingai nuo melatonino, PSK yra brangus ir sunkiai prieinamas. Vienintelį šaltinį šioje šalyje, kurį radau, buvo gydytojo Oregone vykdoma užsakymo paštu paslauga. (Žr. 13 skyrių, kuriame išsamiau aptariami PSK, melatoninas ir kiti vaistai.)
Chemoterapijos tęsimas
Su savo tamoksifenu, Accutane, verapamiliu, melatoninu ir PSK perėjau prie kito chemoterapijos kurso. Buvau pasirinkęs PCV paketą, kuris gerokai skyrėsi nuo BCNU. Jam reikėjo trijų atskirų chemoterapijos vaistų, iš kurių du buvo vartojami per burną. Pirmąją gydymo dieną vakare išgėriau CCNU dozę, praėjus kelioms valandoms po Zofran „užtaisymo". (CCNU yra artimas BCNU giminaitis. Nors ir ne toks veiksmingas kaip atskiras agentas, jis yra mažiau toksiškas plaučių komplikacijų atžvilgiu, kurios gali būti rimtas BCNU šalutinis poveikis.) Po savaitės nuvykau į chemoterapijos kliniką gauti vinkristino injekcijos. Tą pačią dieną pradėjau kasdienį prokarbazino režimą – dar vieną ankstyvą smegenų navikų vaistą, lengvai prasiskverbiantį pro kraujo ir smegenų barjerą. Galiausiai, po dviejų prokarbazino savaičių, gavau antrą vinkristino injekciją.
Šis sudėtingas gydymo režimas tęsėsi visą 1995 metų rugpjūtį. Prokarbazino komponentas neleido man vartoti alkoholinių gėrimų. Turint omenyje mano dvidešimties metų tradiciją gerti vyną vakarienės metu beveik kiekvieną vakarą, tikrai jo pasigedau, bet mano motyvacija sėkmingai baigti chemoterapiją buvo kur kas stipresnė nei hedonizmas.
Paskutinę rugpjūčio savaitę dalyvavome mano jaunesniojo kolegos John Wixted vestuvėse. Vestuvės buvo puiki šventė, bet vėliau pobūvyje negalėjau atsikratyti depresijos. Kontrastas tarp progos linksmybių ir mano paties aplinkybių darė mane dar labiau linkusį apmąstyti savo artėjančią mirtį. Negalėjau pritapti prie laimingos nuotaikos ir pagaudavau save mąstantį, kad tėra laiko klausimas, kada šios džiaugsmingos žmogiškos bendrystės akimirkos baigsis. Visiškai tikėjausi būti miręs po kelių mėnesių.
Vėliau, žiūrėdamas vestuvėse darytas nuotraukas, buvau priblokštas, kaip akivaizdžiai matyti mano depresija. Tai galiojo visoms nuotraukoms, darytoms per pirmuosius metus po diagnozės. Kad ir kaip gerai manome tvarkantys, vėžys pareikalauja didelės emocinės kainos.
Netrukus po vestuvių turėjau dar vieną MRT. Man labai palengvėjo, kai jis parodė milžinišką likutinio naviko sumažėjimą – pokytį pastebėjau vos žvilgtelėjęs. Dabar tikrai buvo vilties, kad mano gydymas gali pavykti. Paklausiau Marc Chamberlain, ar būdinga, kad žmonės, kurių navikas sumažėjo po pirmųjų chemoterapijos kursų, pasiekia visišką remisiją. Ne, tai nebūdinga, atsakė jis, bet kadangi mano navikas susitraukė taip dramatiškai, tai buvo reali galimybė. Su Diane išėjome iš jo kabineto kupini entuziazmo.
Mano kraujo rodikliai po antrojo chemoterapijos kurso tebebuvo normaliose ribose, todėl Marc paskatino mane nedelsiant tęsti su kitu PCV kursu. Nors jaučiausi ramiau dėl rutinos, prokarbazinas darėsi vis sunkiau toleruojamas. Kiekvieną rytą nubusdavau su skrandžio skausmais, kurie buvo daugmaž nepertraukiami, išskyrus trumpą laiką po valgio. Priversti save vakarais gerti tabletes tapo tikru iššūkiu. Pradėjau gerti pieno kokteilius vartodamas tabletes ir kitais dienos metu, ir tai, atrodo, kelioms valandoms palengvindavo skrandžio skausmus. Vinkristinas taip pat ėmė kelti problemų – skaudėjo žandikaulius ir nutirpdavo kojų pirštai. Atsipalaidavau, kai mėnesį trukusi kančia pagaliau baigėsi.
Tuo metu tęsiau savo tyrimus, nors rasdavau vis mažiau naujos informacijos apie gliomų gydymą. Atradau Indijoje atliktą tyrimą,9 paskelbtą Amerikos žurnale Cancer Letters, kuriame esminė riebalų rūgštis – gama-linoleno rūgštis (GLA) – buvo infuziuojama tiesiai į naviko ertmę per kateterį pradinės operacijos metu. Tai lėmė dramatišką likutinio naviko sumažėjimą gliomų pacientams. Dar įspūdingiau – GLA nesukėlė jokio šalutinio poveikio, o nauda tapo akivaizdi per dvi savaites.
Sužavėtas rezultatų, maniau, kad šios informacijos svarba bus greitai pripažinta neuroonkologijos bendruomenėje šioje šalyje. Taip pat klausiau savęs, ar nebūtų galima panaudoti GLA mano paties gydymui, todėl pradėjau tyrinėti jos poveikį vėžiui apskritai. Atradau daugybę in vitro (laboratorijoje naudojant ląstelių kultūras) atliktų tyrimų, bet neradau nė vieno in vivo (su gyvūnais). Skirtingai nuo daugumos šalių, Jungtinėse Amerikos Valstijose reikalaujama, kad gydymo veiksmingumas būtų įrodytas gyvūnų modeliuose, prieš vaistui pereinant prie žmogaus tyrimų.
Man nebuvo aišku, kodėl GLA niekada neperėjo prie in vivo tyrimų lygio ir galiausiai prie žmogaus klinikinių tyrimų šioje šalyje. Tuo metu nesuvokiau mūsų vaistų patvirtinimo proceso reikalavimų griežtumo. Naiviai tikėjau, kad sėkmingi žmogaus klinikiniai tyrimai Indijoje yra pagrindas rimtai vertinti GLA Jungtinėse Amerikos Valstijose. Išskyrus tyrimą Indijoje, reikšmingo laboratorinių tyrimų tęsinio nebuvo. Kreipiausi į dr. Barba ir dr. Marshall, bandydamas juos sudominti šiuo gydymu, bet nepavyko. Tada nusiunčiau laišką American Brain Tumor Association kartu su tūkstančio dolerių čekiu, prašydamas paskatinti dėmesį GLA gydymui. Gavau padėkos laišką ir pažadą, kad jie išnagrinės šį klausimą, bet daugiau iš jų nieko negirdėjau. Iki šiol niekas Jungtinėse Amerikos Valstijose neatrodo vertinantis, kad perspektyvus naujas gydymas buvo visiškai ignoruotas.
Gama-linoleno rūgštis randama keliuose sėklų aliejuose. Kadangi ji yra netoksiška ir prieinama daugelyje sveikos mitybos parduotuvių, nusprendžiau ją įtraukti į savo gydymo paketą. Dažniausias GLA šaltinis yra nakvišų aliejus, bet aguonrožių sėklų aliejus turi maždaug dvigubą koncentraciją. Pradėjau vartoti dešimt aguonrožių sėklų aliejaus kapsulių per dieną – pakankamai, kad gaučiau 2–2,5 g per dieną GLA. Žinoma, neturėjau supratimo apie tinkamą dozę ir nežinojau, kiek GLA pasiekia mano smegenis iš virškinimo trakto. Vis dėlto nebuvo jokio neigiamo aspekto ją vartojant, išskyrus kainą, todėl atrodė kvaila jos neįtraukti.
Pažanga
Trečiasis MRT po chemoterapijos buvo 1995 metų lapkričio pabaigoje. Atsižvelgiant į dramatišką ankstesnio MRT sumažėjimą, tikėjausi, kad likutinio naviko nebebus. Tai buvo pernelyg optimistiška, žinojau, todėl buvau tik šiek tiek nusivylęs, kai rezultatai parodė, kad dalis naviko vis dar liko, nors jis buvo gerokai sumažėjęs. Mano navikas turėjo du komponentus, iš kurių didžiausias buvo palei plyšį, skiriantį mano parietalinę ir pakaušinę žievę. Dalis jo vis dar buvo matoma, nors nebuvo aišku, ar tai navikas, ar operacijos randinis audinys. (Abu kaupiantys kontrastinę medžiagą, todėl sunku juos atskirti.) Antrasis komponentas buvo daug giliau, link vidurinių smegenų. Dr. Marshall buvo sakęs, kad jis per arti motorinės juostos, kad būtų pašalintas operacijos metu. Labai palengvėjo, kad ši naviko dalis buvo beveik išnykusi. Marc Chamberlain pakomentavo, kad likutis yra byrėjimo procese. Tiksliai nežinojau, ką tai reiškia, bet dabar jaučiausi optimistiškai, kad mano navikas greitai dings.
Kadangi PCV šalutinis poveikis ėmė man kelti problemų, nusprendžiau grįžti prie BCNU. Galbūt tai buvo neapdairu, atsižvelgiant į tai, kaip gerai man veikė PCV. Tačiau buvau smalsus, ar chemoterapijos tipas tikrai turi reikšmės, ir nebuvau įsitikinęs, kad tik chemoterapija lėmė mano teigiamą rezultatą. Be to, nenorėjau mėnesį trunkančio PCV režimo, nes planavome aplankyti Diane šeimą Washington, D.C. per Kalėdų atostogas. Nebuvau nusiteikęs keliauti – žinojau, kad mano leukocitų skaičius bus žemas, o lėktuvai garsėja infekcinių ligų perdavimu, – bet Diane nebuvo mačiusi savo šeimos nuo mano operacijos. Jai tai buvo ypač sunku, nes jos motina buvo patyrusi insultą aštuoniolika mėnesių prieš mano operaciją ir gulėjo lovoje. Be to, Diane baiminosi, kad tai gali būti paskutinės mūsų bendros Kalėdos, ir norėjo, kad pamatyčiau jos šeimą, kol dar galiu. Bet kuriuo atveju, BCNU baigiau pirmąją gruodžio savaitę ir savaitę prieš Kalėdas išvykome į Washington, D.C. Deja, nebuvau geriausias svečias – dvi dienas praleidau lovoje su sunkiu peršalimu, kurį pagavau lėktuve. Grįžus kraujo tyrimas parodė, kad mano leukocitų skaičius buvo kritęs iki tokio lygio, kad buvau klasifikuotas kaip „sunkiai neutropeniškas". Dažnai dėl to kyla sunkių komplikacijų, galinčių būti mirtinos; laimei, daugiau nesusirgau, o mano kraujo rodikliai atsigavo per artimiausias dvi savaites.
Kai sausio viduryje atėjo kito MRT laikas, nekantriai tikėjausi, kad mano gydymas sunaikino naviką. Iki tol buvau įsigijęs įrangą, leidžiančią peržiūrėti MRT skenas namuose, užuot laukus vizito pas dr. Chamberlain.
Peržiūrėdamas skenas mačiau, kad navikas, atrodo, buvo dingęs. Buvo nedidelis kontrastinis paryškinimas palei kietąjį dangalą – storą membraną, gaubiančią smegenis, – bet maniau, kad tai operacijos randinis audinys. Vis dėlto buvau šiek tiek neramus, kai kitą dieną susitikome su Marc Chamberlain. Jis taip pat nebuvo tikras, ar MRT rodo naviką, ar randinį audinį, bet kadangi paryškinimas buvo matomas tik vienoje iš trijų MRT projekcijų, jis manė, kad mano interpretacija buvo teisinga. Sritys, kuriose navikas buvo labiausiai matomas, nerodė jokio paryškinimo, ir buvau įsitikinęs, kad jis iš tiesų buvo sunaikintas. Su Diane buvome laimingi – gydymas, atrodo, pagaliau pavyko.
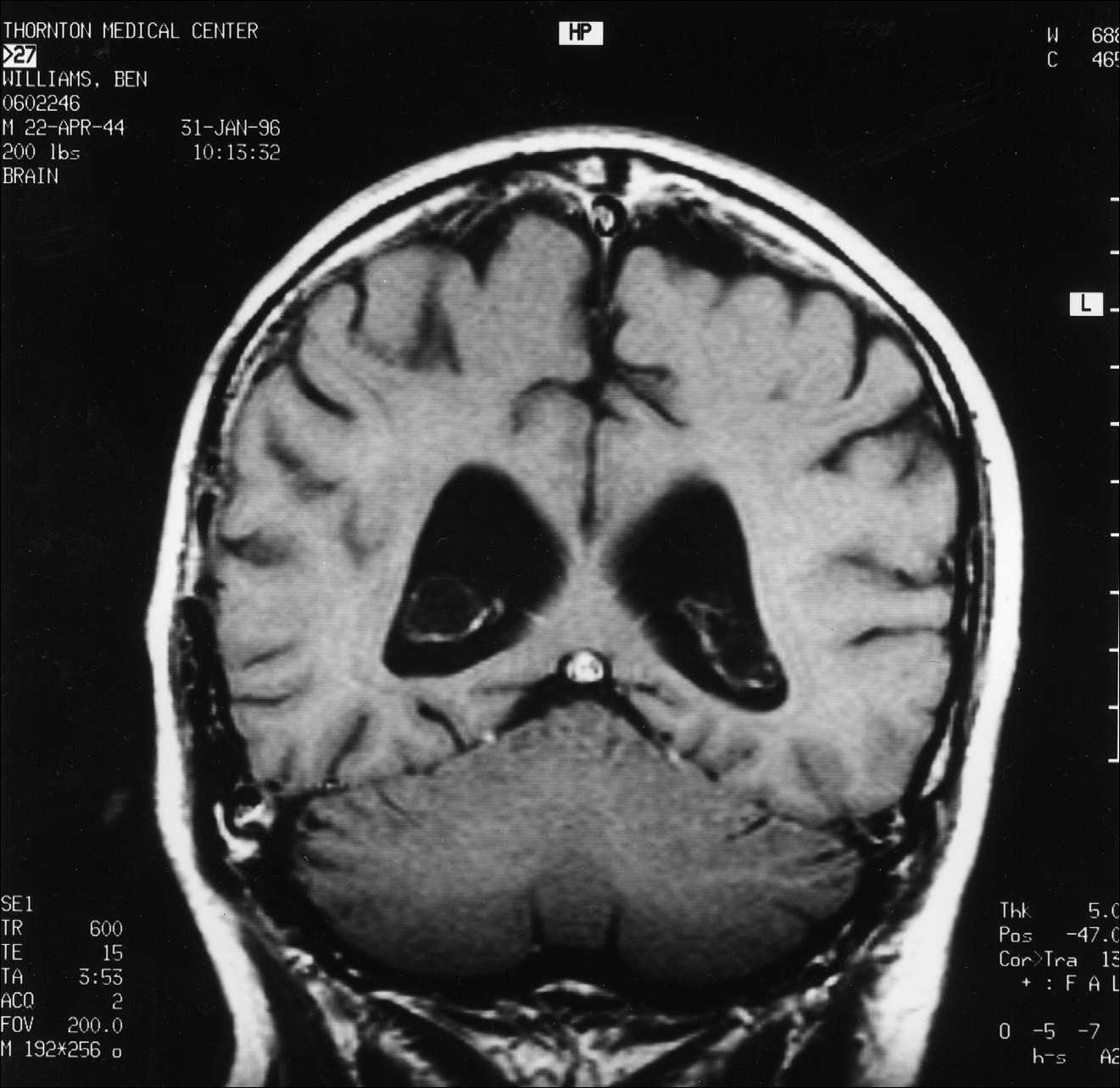
5 pav.
MRT pjūvis, atitinkantis pjūvius, parodytus 1 pav. ir 3 pav.
6 pav.
MRT pjūvis, atitinkantis pjūvius, parodytus 2 pav. ir 4 pav. Nors vis dar matomas nedidelis paryškinimas, jis atrodo esąs palei kietąjį dangalą, o ne žievėje.
IŠNAŠOS
1. Levin, V. A., et al. Superiority of post-radiotherapy adjuvant chemotherapy with CCNU, procarbazine, and vincristine (PCV) over BCNU in anaplastic gliomas: NCOG 6061 final report. International Journal of Radiation Oncology, Biology, Physics. 1990;18(2):321-324.
2. Figueredo, A., et al. Addition of verapamil and tamoxifen to the initial chemotherapy of small cell lung cancer: a phase-I/II study. Cancer. 1990;65(9):1895-1902.
3. Bowles, A. P., et al. Use of verapamil to enhance the antiproliferative activity of BCNU in human glioma cells: an in vitro and in vivo study. Journal of Neurosurgery. 1990;73(2):248-253.
4. Aas, A. T., et al. Chlorpromazine in combination with nitrosourea inhibits experimental glioma growth. British Journal of Neurosurgery. 1994;8(2):187-192.
5. Tai, kad dr. Marshall jautė poreikį būti toks netiesioginis teikdamas šią informaciją, atspindi baisų mūsų teisinės sistemos faktą. Stengdamiesi apriboti narkotikų vartojimą – o šios pastangos buvo nepaprastai neveiksmingos – įstatymų leidėjai sukelia nereikalingą kančią dėl nesugebėjimo padaryti paprastų skirtumų tarp medicininio ir rekreaciniovaisto vartojimo. Morfinas yra legalus medicininiais tikslais. Kodėl marihuana taip pat neturėtų būti legali, atsižvelgiant į jos aiškią medicininę vertę? Dėl šios ir kitų priežasčių jaučiu panieką politikams, kurie tikisi gauti politinės naudos skelbdami supaprastintus šūkius apie narkotikų blogį.
6. Kohn, L. T., et al., eds. To Err Is Human: Building a Safer Health System. Washington, D.C.: National Academy Press; 1999.
7. Murovic, J., et al. Computerized tomography in the prognosis of malignant cerebral gliomas. Journal of Neurosurgery. 1986;65(6):799-806.
8. Lissoni, P., et al. Increased survival time in brain glioblastomas by a radioneuroendocrine strategy with radiotherapy plus melatonin compared to radiotherapy alone. Oncology. 1996;53:43-46.
9. Das, U. N., et al. Local application of gamma-linolenic acid in the treatment of human gliomas. Cancer Letters. 1994;94:147-155.

