1 skyrius. Diagnozė: daugiamorfė glioblastoma – „Terminatorius“
2 iš 16 · ~15 min. skaitymo
Diagnozė: daugiamorfė glioblastoma – „Terminatorius"1
MANO ŽMONA DIANE ir aš dalyvavome vakarienėje, kurią surengė kolega iš University of California, San Diego (UCSD) psichologijos katedros. Prieš vakarienę mūsų draugija metė man iššūkį. Per daugelį metų buvome surengę nemažai vyno degustacijų, ir aš buvau įgijęs katedros vyno žinovo reputaciją. Taigi man buvo pasiūlytas aklas kelių skirtingų vynų degustacijos testas. Testą išlaikiau puikiai, tačiau degustacijos metu išgėriau nemažai vyno.
Išeidami iš vakarienės, turėjau sunkumų surasti, kur pastatėme automobilį. Ne tai, kad neprisiminčiau, kur jis stovi – tiesiog visas mano erdvinis žemėlapis atrodė apverstas 180 laipsnių. Tačiau Diane buvo visiškai tikra, kur pastatėme automobilį, nors aš tvirtinau, kad teisus esu aš, o ji klysta. Paskui, pakeliui namo, ji ėmė nerimauti, nes aš nesilaikiau savo juostos. Kai sutelkiau dėmesį į vairavimą, pavyko saugiai parvažiuoti namo, nors ir ne be sunkumų. Kitą rytą Diane paklausė manęs apie šį atvejį. Nors nebuvau jautęsis apgirtęs, nusprendžiau, kad tiesiog per daug išgėriau, ir pasižadėjau ateityje elgtis atsakingiau.
Po kelių savaičių patyriau dar vieną keistą epizodą. Vieną šaltą, vėjuotą dieną bėgiodamas pargriuvau šokdamas per upelį. Nekreipiau į tai dėmesio, tačiau tada nutiko kažkas tikrai keista. Bėgau prieš stiprų vėją, kūną palenkęs beveik 60 laipsnių kampu. Po nemažų pastangų supratau, kad toliau bėgti nebegaliu, ir nusprendžiau sustoti. Tačiau negalėjau. Kad ir kaip stengiausi priversti kojas nustoti judėti, jos tiesiog judėjo toliau. Mane apėmė panika. Tada suvokiau, kad man nereikia sustoti, norint ištrūkti iš vėjo – tereikia pasisukti. Ir aš pasisukau, sustojau ir be jokių tolesnių incidentų parėjau namo. Vėliau nusprendžiau, kad griuvimas laikinai sutrikdė neurologinę kojų kontrolę. Kai netrukus po to mane ėmė kamuoti stiprus nugaros skausmas, įsivaizdavau, kad ir tai nutiko dėl griuvimo.
Per ateinančias dvi savaites pasirodė įvairių kitų simptomų. Diane ėmė nerimauti, kad statau automobilį netvarkingai ir vaikštau vienu petimi gerokai žemiau nei kitu. Buvau vis labiau pavargęs ir sunkiai kėliausi iš lovos rytais. Kai pabusdavau, beveik visada mane kamavo stiprus galvos skausmas, tačiau buvau prie to pripratęs dėl nuolatinių sinusų problemų. Taip pat pastebėjau, kad darau daugiau klaidų dirbdamas savo laboratorijoje. (Esu eksperimentinės psichologijos mokslininkas, kurio pagrindinė tyrimų sritis – gyvūnų mokymosi procesai.) Nė vienas iš šių simptomų manęs rimtai nesutrikdė, kol nepradėjo trikti koordinacija. Nors galėjau vaikščioti normaliai, kai tam skirdavau dėmesio, dažnai pastebėdavau, kad velkiu kojas – tai vienas klasikinių neurologinės disfunkcijos požymių.
Iš pradžių maniau, kad tai dėl griuvimo patirtos traumos, tačiau po kelių savaičių Diane primygtinai pareikalavo, kad užsiregistruočiau pas šeimos gydytoją. Pats taip pat pradėjau nerimauti ir įtariau, kad galbūt sergu išsėtine skleroze. Penktadienį, kovo 24 dieną, paskambinau savo gydytojui, kuris pasiūlė mane priimti tą pačią popietę. Jis sutiko, kad mano simptomai keisti, ir atliko keletą paprastų neurologinių testų, iš kurių nė vienas neatskleidė jokių problemų. Tada jis nukreipė mane pas neurologą, tačiau artimiausias vizitas buvo tik po trijų savaičių. Mano neurochirurgas vėliau pasakė, kad per dvi savaites būčiau buvęs miręs.
Susirūpinusi, kad teks taip ilgai laukti vizito, Diane paskambino mūsų draugui dr. Leon Thal – UCSD Neuromokslų katedros vedėjui (katedra neseniai buvo pripažinta viena geriausių neuromokslų katedrų pasaulyje). Leon sutiko, kad mano simptomai keisti ir kad išsėtinė sklerozė galima. Jei taip ir būtų, pasak jo, nereikia skubėti pas neurologą, nes per artimiausias kelias savaites greičiausiai niekas nepasikeis.
Žvelgiant atgal, mano būklę turėjo būti sunku diagnozuoti. Vis dar normaliai funkcionavau protiškai, be akivaizdžių deficitų, o mano motoriniai simptomai buvo dvišaliai. (Kaip vėliau paaiškėjo, navikas spaudė motorinį traktą, einantį per vidinę kapsulę – smegenų sritį, esančią tiesiai po smegenų pusrutuliais ir tarp jų.) Be to, dešiniojo parietalinio žievės, kur buvo mano navikas, pažeidimas dažnai lemia tai, kad pacientai neigia turį kokių nors deficitų. Bet kuriuo atveju nė vienas iš gydytojų, pas kuriuos kreipiausi, nebuvo sunerimęs dėl mano būklės, todėl buvau pasiruošęs laukti vizito pas neurologą.
Per savaitgalį buvau nepaprastai pavargęs ir blogai jaučiausi. Mane labai kamavo nugaros skausmas, todėl nusipirkome vandens lovą. Kai atsiguliau jos išmėginti, jaučiausi toks pavargęs, kad prireikė didelių pastangų vėl atsikelti. Pirmadienį nuėjau į darbą ir dirbau visiškai normaliai. Antradienį ėjau plaukti, tačiau jaučiausi dezorientuotas, tarsi būčiau apsvaigęs, ir galiausiai baigiau, nes buvo nemalonu iki keistumo.
Trečiadienio vakarą mūsų namuose buvo suplanuotas pokerio vakaras. Tai buvo kas mėnesį vykstantis renginys, kurį inicijavau prieš kelerius metus, kai buvau psichologijos katedros vedėjas, kaip priemonę skatinti socialinį fakulteto narių bendravimą. Kai buvau asistentas, bendravimą su vyresniaisiais profesoriais labiau apibrėžė bauginimas nei kolegialumas, ir aš pasiryžau pakeisti katedros atmosferą. Iš tiesų pokerio vakarai padėjo šiam tikslui. Lošta buvo labai nedidelėmis sumomis, tačiau pasididžiavimas, kad pranoksti savo kolegas, ypač jaunesniems dėstytojams, buvo galinga motyvacija žaisti kuo geriau.
Tame konkrečiame pokerio vakare man sekėsi geriau nei įprastai. Priešais mane kaupėsi žetonai, tačiau tai, kaip su jais elgiausi, tapo galutiniu mano diagnozės įrodymu. Dešinėje pusėje žetonai buvo tvarkingai sudėlioti krūvelėmis. Kairėje – suversti į vieną didelę krūvą, tarsi nežinočiau, kad jie ten yra. Kairiojo regėjimo lauko aplaidumas yra būdingas dešiniosios parietalinės žievės pažeidimų simptomas – ten ir buvo kilęs mano smegenų navikas. Nesuvokdamas šios problemos, buvau puikios nuotaikos dėl rekordinių laimėjimų. Ėjau miegoti jausdamasis geriau nei jau kurį laiką.
Kelionė į priėmimo skyrių
Kitą rytą vos galėjau išlipti iš lovos. Nuvažiavęs į darbą, iškart nuėjau į savo laboratoriją ir pradėjau įprastinę rutiną. Mano atliekami eksperimentai buvo valdomi automatiškai, tačiau turėjau įdėti žiurkes į eksperimentines kameras prieš paleisdamas valdymo įrangą. Po kasdienės sesijos grąžindavau žiurkes į jų narvelius. Tuo tarpu nuėjau į viršų patikrinti pašto ir sutikau savo pokerio grupės narį Brett Clementz, kurį buvau pasamdęs prieš kelerius metus. Po pokerio vakaro Brett ir kiti žaidėjai aptarė mano simptomus ir nusprendė imtis veiksmų. Brett atkakliai reikalavo, kad eičiau su juo į Thornton Hospital priėmimo skyrių, priklausantį universiteto medicinos mokyklai. Nors nenorėjau, negalėjau su juo ginčytis, kai jis parodė, kaip netvarkingai buvau pastatęs automobilį aikštelėje.
Atvykus į priėmimo skyrių, teko trumpai palaukti, kol buvo surastas budintis neurologijos rezidentas. Jam atvykus, jis pakartojo kelis testus, kuriuos mano šeimos gydytojas buvo atlikęs praėjusią savaitę, tačiau dabar deficitai buvo akivaizdūs. Neurologas paskyrė neatidėliotiną MRT tyrimą. Tai buvo mano pirmasis MRT, ir jis atrodė begalinis. Nors kamera bauginančiai priminė karstą, daugeliui pacientų būdinga klaustrofobija manęs nevargino. Vargino laukimas ir nuojauta, kad kažkas rimtai negerai ir kad netrukus išgirsiu labai blogų naujienų.
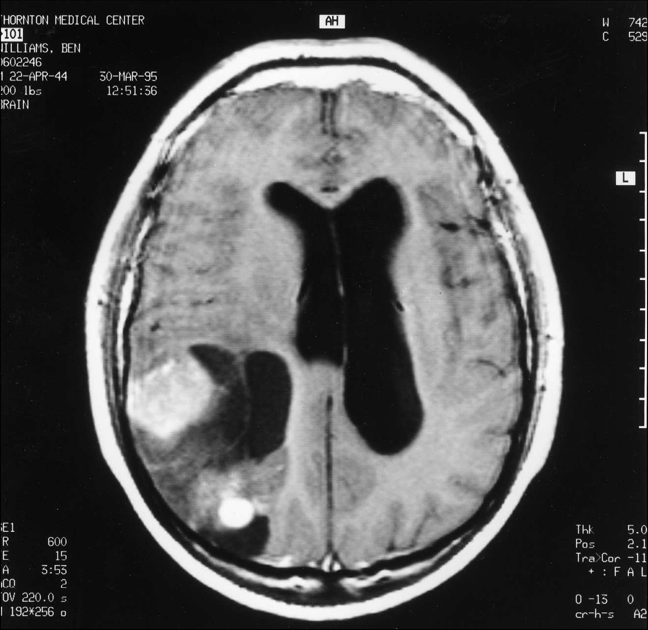
MRT pateikia smegenų skenavimų seriją, fiksuojančią smegenų pjūvius nuo viršaus iki apačios, iš šono į šoną ir iš priekio į galą. Šiam konkrečiam tyrimui visos trys serijos buvo pateiktos du kartus – vieną kartą prieš man gaunant gadolinio injekciją ir vieną kartą po jos. Gadolinis yra kontrastinė medžiaga, kurią absorbuoja naviko audinys, bet ne normalus smegenų audinys. Jei navikas yra, gadolinis MRT vaizde atrodo kaip ryškiai baltos dėmės; kuo ryškesnės dėmės, tuo sparčiau navikas auga. Tai taip pat parodo, kiek naviko yra.
Kai MRT pagaliau baigėsi, pradėjau rinkti savo daiktus, bet technikas Patrick pasakė, kad gydytojai norės mane pamatyti nedelsiant. Iš to supratau, kad jis skenavimo metu pastebėjo kažką labai rimto. Kai grįžau į priėmimo skyrių, rezidentas neurologas žiūrėjo MRT vaizdus monitoriuje. Jam akivaizdžiai buvo sunku pasiruošti pranešti blogą žinią, todėl vietoj to pakvietė mane kartu pažiūrėti į skenuotus vaizdus. Buvau priblokštas. Visa dešinioji smegenų pusė buvo naviko apimta (žr. čia ir čia). Akimirką atsigavęs, pakomentavau: „Bent jau dešinėje pusėje." Buvau matęs, kokie pražūtingi gali būti kairiojo pusrutulio pažeidimai. Neurologas pritarė mano pozityviam požiūriui, tačiau buvo aišku, kad, jo manymu, netrukus mirsiu.
1 pav.
MRT pjūvis, atliktas per smegenų vidurį tarp priekio ir galo.
2 pav.
MRT pjūvis, atliktas per smegenų vidurį tarp viršaus ir apačios. Panašūs naviko kiekiai buvo matomi bent pusėje abiejų serijų pjūvių.
Matyt, tokie dideli ir grėsmingi smegenų navikai kaip manasis yra reikšmingas įvykis. Netrukus pusė neurologijos skyriaus susirinko apžiūrėti vaizdų. Mano neurochirurgas apibūdino naviką kaip didelio apelsino dydžio; mano neuroonkologas vėliau apskaičiavo jo tūrį – 184 kubinius centimetrus.
Brett, laukęs priėmimo skyriuje, paskambino dr. Leon Thal. Leon nurodė, kad mane reikia nedelsiant paguldyti į ligoninę ir kad kažkas turėtų susisiekti su mano šeimos gydytoju. Mano gydytojai primygtinai reikalavo, kad eičiau į palatą, kai tik ji bus laisva, tačiau pirmiausia turėjau grįžti į savo laboratoriją – išimti gyvūnus iš eksperimentinių kamerų ir palikti nurodymus gyvūnų prižiūrėtojui. Su Diane susitikau ligoninėje, ir mes aptarėme neurochirurgo pasirinkimą. Ji paskambino keliems mūsų draugams gydytojams rekomendacijų. Jie sutiko, kad dr. Lawrence Marshall, UCSD neurochirurgijos katedros vedėjas, yra geriausias neurochirurgas San Diego apylinkėse. Jis pažadėjo susitikti su mumis vėliau tą popietę. Deja, Diane jo atvykimo metu nebuvo – ji buvo grįžusi namo paimti įvairių dalykų, reikalingų mūsų buvimui ligoninėje. Diane buvo paprašiusi, kad į mano palatą būtų atnešta papildoma lova, kad galėtų būti su manimi, ir ligoninė mielai sutiko. Iš tiesų ligoninės personalas elgėsi su mumis nepaprastai gerai. Jie stengėsi užtikrinti Diane, kad esu „labai svarbus asmuo", kuriuo bus gerai pasirūpinta. Jiems akivaizdžiai padarė įspūdį tai, kad keletas medicinos mokyklos gydytojų rūpinosi mano gerove.
Kai atvyko dr. Marshall, jis pasakė, kad navikas kelia tiesioginį pavojų ir man reikia operacijos kitą popietę. Ta naktis, kovo 30-oji, neabejotinai buvo pati blogiausia mano gyvenime. Visą naktį blaškiausi, ne tik dėl nerimo dėl operacijos ir galimybės, kad po jos būsiu smarkiai pažeistas, bet ir todėl, kad nerimas išprovokavo stiprų širdies aritmijos priepuolį, kuriam turėjau polinkį. Net didelė valiumo dozė nepadėjo užmigti, ir visą naktį svarsčiau, kas manęs laukia. Kartais tikėjausi, kad aritmija mane nužudys, kad nereikėtų patirti laukiančios traumos. Matęs, kiek milžiniškas navikas buvo įsiskverbęs į mano smegenis, tikėjausi, kad gyvenimas, kokį pažinojau, yra baigtas.
Operacija ir atsigavimas
Mano operacija buvo numatyta 14:00 VAL., tačiau mane iškėlė iš palatos 11:00 VAL., nes kitas pacientas ją reikalavo. Laukiau paruošimo zonoje iki operacijos. Per tą laiką keli draugai ir du mano magistrantai užsuko aplankyti, palinkėti sėkmės ir paklausti, ar gali kuo nors padėti. Tai buvo maloni atitraukianti veikla. Stengiausi išnaudoti situaciją geriausia, leisdamas juodus juokelius – tai buvo mano būdas susidoroti.
Galiausiai atėjo slaugytoja ir paklausė, ar noriu būti sąmoningas, kol manęs ruošiama operacijai. Atsakiau, kad ne – kuo greičiau mane užmigdys, tuo geriau. Jei mano sąmoningai patirčiai buvo lemta baigtis, norėjau tai kuo greičiau baigti. Mano anesteziologas vėliau pasakė, kad turėjo nemažų sunkumų įkišdami kvėpavimo vamzdelį į trachėją – problemos, kurios galbūt būtų buvę galima išvengti, jei būčiau buvęs sąmoningas ir galėjęs bendradarbiauti. Rezultatas – stiprus gerklės dirginimas, kuris truko kelias savaites po operacijos ir dėl kurio vos galėjau kalbėti.
Kai atsibundau intensyviosios terapijos skyriuje, pirmiausia patikrinau, ar visos galūnės dar veikia. Mano dideliam palengvėjimui – veikė. Tada suvokiau, kad didžiausias mano rūpestis pasaulyje – noriu atsigerti vandens. Niekada nebuvau toks ištroškęs. Slaugytoja atsisakė duoti vandens, bijodama, kad vėmimas sugadins įvairius prie mano kūno prijungtus vamzdelius. Dariausi vis atkaklesnnis ir jau buvau beištraukiąs vamzdelius, kad pats pasiimčiau vandens, kai ji nusileido ir atnešė puodelį trupinto ledo. Greitai jį surijau ir pareikalavau dar, ir mūsų valių kova tęsėsi. Po kelių puodelių ledo ji davė man vynuogių sulčių, kurios buvo pats blogiausias skystis, kokį galėjau gauti, dėl jų klampios, grūdėtos konsistencijos. Dėl ankstesnio mano atkaklaus reikalavimo kažko atsigerti, pavyko susilaikyti nuo vėmimo.
Penktadienio naktį praleidau intensyviosios terapijos skyriuje, o ryte buvau perkeltas į naują palatą. Per tą laiką Diane paklausė dr. Marshall, kiek laiko galiu tikėtis gyventi, manydama, kad galbūt tik kelis mėnesius. Jos palengvėjimui, jis atsakė, kad nors turiu piktybinį smegenų naviką, kuris greičiausiai mane nužudys, gali praeiti net treji ar ketveri metai, kol tai iš tikrųjų nutiks. Jo prognozė rėmėsi preliminaria naviko audinio mėginio analize, kuri rodė, kad turiu anaplastinę astrocitomą, III laipsnio.2 Žinoma, tuo metu neturėjome supratimo, ką tai reiškia, tačiau Diane palengvėjo, kad, atrodė, man negresia tiesioginis mirties pavojus. Per kelias ateinančias valandas ji kartojo, kokie vertingi gali būti šie treji ar ketveri gyvenimo metai, nors aš nebuvau nusiteikęs dalytis jos entuziazmu.
Šeštadienis, balandžio 1-oji, buvo pirmoji pilna diena atgal atskiroje palatoje, ir žinia apie mano hospitalizaciją ėmė plisti. Nemažai žmonių iš pradžių palaikė tai balandžio pirmosios pokštu, tada draugai ėmė rinktis į mano palatą. Vienu metu ji buvo sausakimša, slaugytojos vos galėjo prasibrauti patikrinti prie mano kūno prijungtų vamzdelių. Publika buvo puiki terapija, ir aš leidau daugybę juokų apie savo susitikimą su mirtimi. Kai atsikėliau eiti į tualetą, nepastebėjau savo nuogo užpakalio, kyšančio iš ligoninės chalato, kas turbūt prisidėjo prie tos dienos humoro. Vienas mano kolegų, Edmund Fantino, pats kovojo su prostatos vėžiu ir ragino mane laikytis makrobiotinės dietos, kuriai priskyrė nuopelnus, kad vis dar gyvas. Kadangi kelis kartus buvau valgęs jo namuose, pajuokavau, kad verčiau jau mirčiau.
Linksmybės tęsėsi, kol atvyko dr. Marshall ir žmonės buvo paprašyti išeiti. Dr. Marshall liepė man atlikti paprastus motorinių funkcijų testus, iš kurių svarbiausias buvo patikrinti, kaip gebu vaikščioti. Nors šiek tiek svyravau, galėjau vaikščioti palyginti normaliai. Tada jis paskelbė, kad pakankamai atsigavau ir galiu palikti ligoninę. Kitą rytą jis dar kartą mane patikrintų prieš išrašydamas.
Tą naktį, kai pooperacinis emocinis pakilimas ėmė blėsti, pradėjau apmąstyti savo likimą. Žinojimas, kad man negresia tiesioginis mirties pavojus, teikė šiokią tokią paguodą, tačiau supratau, kad manęs laukia išbandymas, nors tiksliai nežinojau, kas tai bus. Nuo rūpesčių mane atitraukė šlapimo takų infekcija, kurią sukėlė operacijos metu įkištas kateteris. Infekcija buvo kur kas skausmingesnė nei metalinės siūlės mano galvos odos žaizdoje, ir net narkotikai negalėjo suvaldyti skausmo. Tik kai slaugytoja pasiūlė spanguolių sulčių, skausmas atslūgo. Iki šiol galiu rekomenduoti spanguolių sultis kaip veiksmingą šlapimo takų infekcijų gydymą – jau nekalbant apie jų gebėjimą neutralizuoti šparaginių vartojimo kvapą.
Dr. Marshall grįžo kitą rytą, atliko dar kelis paprastus testus ir padarė išvadą, kad galiu vykti namo. Nuo mano atvykimo į priėmimo skyrių buvo praėjusios vos trejos pilnos paros. Smegenų operacija buvo tapusi beveik ambulatorine procedūra. Slaugos personalas atvežė man neįgaliojo vežimėlį nuvežti iki automobilio, nors galėjau puikiai vaikščioti, ir su Diane grįžome namo. Atvykęs miegojau su pertraukomis didžiąją dienos dalį.
Tik praėjus daugeliui mėnesių suvokiau, kokia man buvo sėkmė, kad išvengiau chirurginių komplikacijų. Nemaža dalis pacientų patiria įvairių pooperacinių problemų – dažniausiai infekciją arba smegenų edemą, kuriai sumažinti reikia steroidų. Neturėjau nei vieno, nei kito, ir esu dėkingas dr. Marshall, kad mane išsaugojo palyginti sveikam.
Kelios dienos po mano išrašymo grįžau į ligoninę pooperaciniam MRT tyrimui. Technikas Patrick nustebo mane pamatęs einantį – jis manė, kad kitą kartą mane matys ant neštuvų. Atlikus MRT, jis paminėjo, kad medicinos personalas, apžiūrėjęs naujus smegenų vaizdus, buvo sužavėtas dr. Marshall atlikta rezekcija.
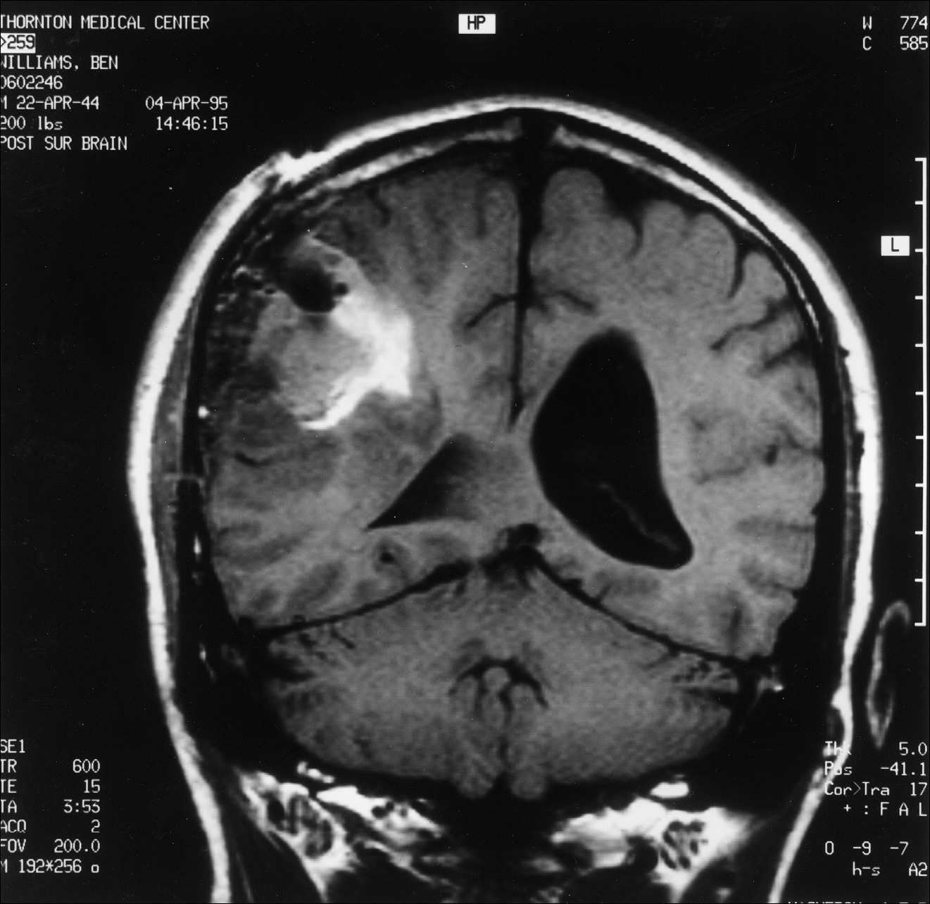
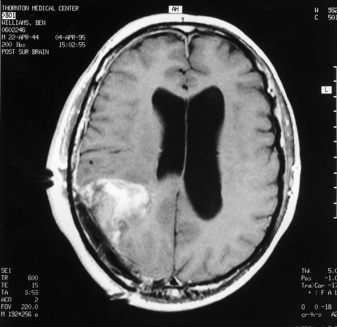
Kitą rytą su Diane susitikome su dr. Marshall aptarti MRT rezultatų. Jis paaiškino, kad stengėsi pašalinti visą matomą naviką, tačiau toli už jo ribų nėjo. Navikas buvo toks didelis, kad papildomas šalinimas būtų sukėlęs rimtų mano regėjimo problemų. Gliomos tipo smegenų navikai turi mikroskopinius ūselius, besitęsiančius du–tris centimetrus už matomų naviko ribų, todėl pašalinti visas naviko ląsteles yra nepaprastai sunku. Tik patys agresyviausi neurochirurgai sugeba pašalinti šiuos nematomus ūselius, dažnai sukeldami reikšmingą paciento funkcinį pablogėjimą. Kadangi dr. Marshall operavo konservatyviau, mano MRT parodė, kad liko nemaža naviko dalis (žr. čia ir čia). Dr. Marshall neatrodė ypač susirūpinęs dėl likusio naviko ir paminėjo, kad jo kolega dr. David Barba galėtų jį veiksmingai gydyti spindulinės terapijos implantu, vadinamu brachiterapija. Tuo metu neturėjau supratimo, apie ką jis kalba. Mano mintis užvaldė tai, kad po operacijos liko nemaža naviko dalis.
3 pav.
Pooperacinis MRT pjūvis, atliktas per smegenų vidurį tarp priekio ir galo.
4 pav.
Pooperacinis MRT pjūvis, atliktas per smegenų vidurį tarp viršaus ir apačios. Abu pjūviai rodo, kad po operacijos liko nemaža naviko dalis.
Prognozė blogėja
Po savaitės nuvažiavome į University Hospital susitikti su dr. Marc Chamberlain – neuroonkologu, pas kurį mus nukreipė dr. Marshall. Dr. Chamberlain buvo UCSD medicinos fakulteto narys. Kadangi jį taip pat rekomendavo mūsų kontaktai Harvard Medical School, tikėjome, kad esame gerose rankose.
University Hospital San Diego centre buvo perpildyta, triukšminga ir visiškai nepatraukli estetiškai. Dauguma pacientų atrodė labai vargingai ir visiškai priblokšti savo situacijos. Nereikia nė sakyti, kad sleganti atmosfera neprisidėjo prie mūsų savijautos. Apžiūros kabinete dr. Chamberlain atliko kelis kognityvinius ir motorinius testus, kurie parodė, kad esu palyginti laisvas nuo neurologinių deficitų, išskyrus nedidelį silpnumą kairėje pusėje. Tada laukėme, kol jis išėjo paimti patologijos ataskaitą. Grįžęs jis gana dalykiškai pranešė, kad mano smegenų navikas yra glioblastoma – pati blogiausia smegenų navikų rūšis. Tada pacitavo statistiką: žmonės su mano diagnoze paprastai gyvena apie metus, tačiau kadangi aš, atrodo, funkcionuoju aukštu lygiu, turiu gerą galimybę patekti tarp mažumos pacientų, kurie išgyvena aštuoniolika mėnesių. Pozityviausia jo informacija buvo ta, kad nejaučsiu skausmo ir greičiausiai mirsiu miegodamas. Jo slaugytoja Patricia Kormanik atidžiai mus stebėjo, tikėdamasi, kaip supratau, emocijų proveržio. Galbūt tai buvo įprasta reakcija į blogas naujienas.
Diane pasakė, kad nesupranta neatitikimo tarp to, ką mums sakė dr. Chamberlain, ir to, ką dr. Marshall pasakė iškart po mano operacijos. Dr. Chamberlain atsakė, kad neatitikimas yra apgailėtinas, tačiau glioblastoma tikrai yra mano diagnozė. Tada aptarėme gydymo galimybes, kurios apėmė spindulinę terapiją ir chemoterapiją – PCV kombinaciją. Neturėjau supratimo, ką tai reiškia. Jis neaptarė ilgalaikio rekomenduojamo gydymo veiksmingumo, nors jo prognozė leido suprasti, kad bet kokia nauda bus trumpalaikė. Jis nepaklausė, ar norėčiau siekti kokio nors kitokio gydymo. Vietoj to buvome paprašyti paskambinti per savaitę suderinti spindulinės terapijos detales. Sukrėsti Diane ir aš palikome dr. Chamberlain kabinetą. Jaučiausi tarsi gavęs arklio spyrį, o tai gal ir buvo tinkama, turint omenyje pasagos formos chirurginį randą, užimantį nemažą mano galvos dalį.
Kelionė namo buvo tyli, bet įtempta. Nė vienas nežinojome, ką pasakyti; abu buvome sukrėsti naujos diagnozės ir prognozės. Nebuvome pajėgūs galvoti, kaip elgtis toliau, todėl gana aklai sutikome daryti tai, ką rekomendavo dr. Chamberlain.
Kitą dieną keli mano pokerio grupės nariai atėjo aplankyti, atnešdami man pietų. Jie paklausė apie mano diagnozę, ir buvau nustebęs, kad pasakodamas sugraudėjau iki ašarų. Visi stengėmės būti kuo dalykiškesni, nes buvo aišku, kad niūrumas nieko gero neduos. Tai tik trukdytų tam, ko man labiausiai reikėjo – sukurti geriausią strategiją kovai su mano, regis, mirtina liga.
IŠNAŠOS
1. Holland, E. C. Glioblastoma multiforme: the terminator. Proceedings of the National Academy of Sciences. 2000;97(12):6242-6244.
2. Gliomos tipo smegenų navikams yra kelios klasifikacijos, tačiau dažniausiai skiriamos astrocitoma (kartais vadinama II laipsnio), anaplastinė astrocitoma (III laipsnio) ir glioblastoma (IV laipsnio). Su skirtingais laipsniais siejama tikėtina gyvenimo trukmė skiriasi beveik dešimt kartų. Dėl tokio didelio skirtumo labai svarbu, kad naviko laipsnis būtų teisingai diagnozuotas.



